But, many are surprised to learn that there is little evidence to suport a "second impact syndrome".
It is most likely that there is a genetic susceptibility to brain edema following a concussion.
See the blog by neuropsychologist Dr. Carone below for an excellent summary of the controversy.
It is most likely that there is a genetic susceptibility to brain edema following a concussion.
See the blog by neuropsychologist Dr. Carone below for an excellent summary of the controversy.
JR
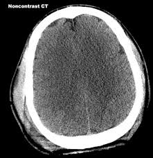
"It has often been reported that when a person suffers a second concussion (mild traumatic brain injury) before recovery from the first concussion takes place, that catastrophic brain swelling and death can result. This has been alleged to occur based on anecdotal information and when it happens (usually in young male athletes) it is referred to as “second impact syndrome” (SIS). SIS is often reported as a factual entity in the media and in the medical literature.
However, when one assess the evidence-based data for whether SIS truly exists, we are left with far more questions than answers. As Dr. Paul McCrory and colleagues (2012) put it, “The phenomenon of the second impact syndrome (SIS) continues to appear in the medical literature in spite of the lack of systemic evidence for its existence.” While McCrory's work is accessible through medical libraries, I have never seen in discussed in mainstream media coverage of SIS. Thus, a brief summary is presented below for ease of access for those who are interested....." Full blog article here
However, when one assess the evidence-based data for whether SIS truly exists, we are left with far more questions than answers. As Dr. Paul McCrory and colleagues (2012) put it, “The phenomenon of the second impact syndrome (SIS) continues to appear in the medical literature in spite of the lack of systemic evidence for its existence.” While McCrory's work is accessible through medical libraries, I have never seen in discussed in mainstream media coverage of SIS. Thus, a brief summary is presented below for ease of access for those who are interested....." Full blog article here
Neurology. 1998 Mar;50(3):677-83.
Second impact syndrome.
Source
Department of Medicine, University of Melbourne, Australia.
Abstract
Diffuse cerebral swelling with delayed catastrophic deterioration, a known complication of brain trauma, has been postulated to occur after repeated concussive brain injury in sports--the "second impact syndrome" (SIS). Certain current concussion management guidelines are contingent upon this assumption. We established criteria for definite, probable, and possible SIS and analyzed all published cases. A total of 17 cases were identified in which the reports described the cases as being consistent with SIS. Of these, only five probable cases of SIS were found based on our diagnostic criteria. We also studied the accuracy of recalled episodes of minor concussion in football players by their teammates because the diagnosis of SIS is usually based on such accounts. We found overreporting of recalled episodes of concussion in teammates when compared with self reports and videotape analysis. Based on case reports, the claim that SIS is a risk factor for diffuse cerebral swelling is not established. Prevention strategies for sports-related cerebral swelling are difficult to implement in the absence of established risk factors.
Curr Sports Med Rep. 2012 Jan-Feb;11(1):21-3. doi: 10.1249/JSR.0b013e3182423bfd.
Second impact syndrome or cerebral swelling after sporting head injury.
Source
Centre for Health, Exercise and Sports Medicine, The University of Melbourne, Parkville, Victoria, Australia. paulmccr@bigpond.net.au
Abstract
Second impact syndrome is believed to be the catastrophic consequence of repeated head injury in sport. The scientific evidence to support this concept is nonexistent, and belief in the syndrome is based upon the interpretation of anecdotal cases more often than not, lacking sufficient clinical detail to make definitive statements. The fear of this condition has driven many of the current return-to-play guidelines following concussion. Diffuse cerebral swelling (DCS) following a head injury is a well-recognized condition, more common in children than in adults, and usually has a poor outcome.
- PMID:
- 22236821
- [PubMed - indexed for MEDLINE]
No comments:
Post a Comment